Neurocirugía Craneal

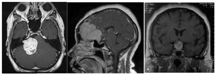
La neurocirugía craneal es una subespecialidad altamente compleja enfocada en el tratamiento de patologías intracraneales, incluyendo tumores cerebrales, traumatismos, malformaciones vasculares y alteraciones estructurales del sistema nervioso central.

Cada procedimiento requiere una planificación meticulosa basada en estudios de imagen avanzados, con el objetivo de intervenir de manera precisa y segura, minimizando riesgos y preservando la función neurológica del paciente.

Se emplean técnicas quirúrgicas modernas, apoyadas en tecnología de alta precisión, que permiten abordajes más controlados y resultados clínicos más favorables.

El enfoque está orientado a resolver la patología de base, optimizar la recuperación y mejorar significativamente la calidad de vida del paciente, siempre bajo los más altos estándares de seguridad.